Category Archives: Oral Health

Add These Things to Your Daily Routine to Prevent Gum Disease

Gum disease is one of the most common dental health problems, affecting almost half of people aged 30 or older. If you do not get the right treatment for gum disease, you could end up losing a tooth or having the disease spread into your jaw bone. To prevent gum disease, add these five things […]

damage teeth

5 Things You Didn’t Realize Damage Your Teeth

Many people know that soda and candy are not good for teeth, but did you realize that your teeth encounter many other hazards in daily life? From your morning workout to the dinner table, your teeth must deal with things that can damage them every day. Here are five potential dangers to watch out for […]

vaping

The Effects of Vaping on Teeth

  Vaping is in general a much healthier option than smoking, but it still poses risks for your oral health. From receding gums to tooth decay, vaping has many negative effects on teeth. Here are a few things to consider before reaching for your vape pen.     Tooth Decay   Cigarettes are notorious for […]

Bad Breath Conversation

The History of Bad Breath

Bad breath carries a stigma that transcends time. What is known about today from the causes of bad breath might be more than eating a sandwich loaded with a bad combination of food. Bad breath is linked to bacteria and persistent bad breath can even mean a person may have gum or periodontal disease. To […]

diabetes dentist

Study Finds Diabetics Visit the Dentist Less Often

More and more, those with diabetes are disregarding dental check-ups. In fact, a recent study led by NYU Rory Meyers College of Nursing and East Carolina University found that minorities (Blacks and Hispanics) and men are visiting the dentist less often, increasing their risk of gum disease. These results indicate that healthcare providers need to promote and […]

healthy mouth resolution 2018

New Year Resolutions for a Healthy Mouth

It’s that time of the year when thoughts turn to resolutions. Your health is a great way to kick start a new year, but have you thought about focusing on a specific area for the year? Here’s how you can get yourself a healthier mouth this year.   Stop Smoking   You probably heard it […]

prevent winter dental problems

Prevent Winter Dental Issues

Many people know that winter is a high-risk season for colds, flu, and dry skin, but did you also know that cold weather can also affect your oral health? Here are a few common winter dental issues, along with tips to avoid them.     1. Cold Sores Cold sore sufferers often experience breakouts in […]

green tea oral health benefits

Green Tea’s Oral Health Benefits

Green tea is not only a relaxing and richly flavored hot drink, but it could also be good for your oral health. Several studies have shown that swapping other beverages for green tea could have significant oral health benefits. Here are a few good reasons to include a cup of green tea in your daily […]

oral and heart health

Heart Disease and Oral Health

Oral health, or the lack thereof, can have a much larger impact on your total health, not just your teeth. For almost two decades, it has been suspected that there is a link between oral disease and heart disease. But, it wasn’t until recently that scientists were certain of the relationship.   Scientists first became […]

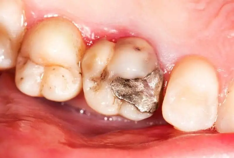
amalgam filling dental mercury

Dental Mercury: Should It Be Banned?

When you get a cavity in a tooth, it’s important to have a dentist fill the cavity in order to stop the tooth from becoming infected, rotting, and causing pain and other problems. One common material used to fill a cavity is mercury, or dental amalgam, which uses liquid mercury and a powdered alloy made […]